Mohannad Dental
Comprehensive restoration of the smile with combined crowns/Denture
Composite bonding and Smile line correction with laser
Comprehensive Enhancement and restoration of the smile with Porcelain Veneers
restoring smile confidence with 4 Frontal porcelain veneers
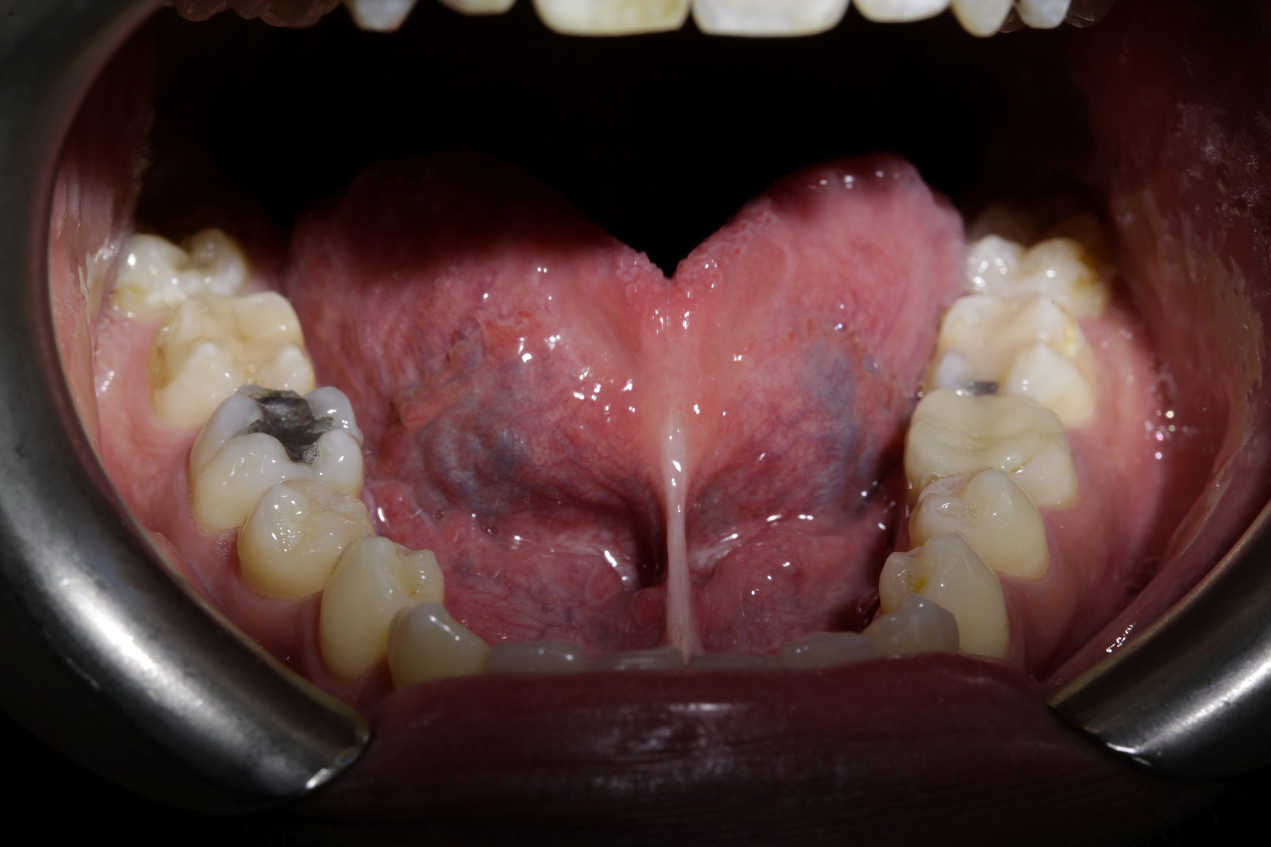
Release of tongue tie with Biolase Laser Technology
Indirect Restoration with Porcelain Inlay
Smile reconstruction and gap closure with Porcelain Veneers
Ceramic Crown restoration of posterior Teeth
No Prep Porcelain Veneers closing the gaps and restoring
Smile reconstruction with crowns and veneers
Crown lengthening and Smile enhancement with laser
Gingivitis / Periodontitis
Laser crown lengthening and crowns enhancing and reshaping the smile